找回密码
 免费注册

微信扫码登录

QQ登录

只需一步,快速开始

查看: 3109|回复: 10

【转】中国女子在泰国偷吞钻石 被抓后飚日语

[复制链接]

1149

主题

2万

回帖

2339 小时

在线时间

金甲骑士

风云有你有我 携手一路同行

积分
54382
QQ
发表于 2015-12-27 13:09:19 | 显示全部楼层 |阅读模式

亲,以车会友,扩大圈子。注册一下吧?

您需要 登录 才可以下载或查看,没有账号?免费注册

×
本帖最后由 赵飞燕 于 2015-12-27 13:12 编辑

中国女子在泰国偷吞钻石 被抓后飚日语
567e9637cbb89.jpg
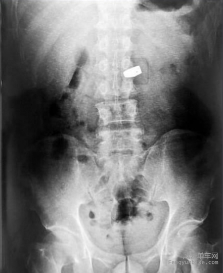
12月26日消息,一名中国女游客秦某,在泰国曼谷珠宝展上趁人不备,把一颗价值200万人民币的6克拉钻石囫囵吞下。警方通过X光,找到位于其大肠中的钻石,并让医生使用肠镜等器械,将钻石从该女子的肠中取出。

567e96501a529.jpg
人赃并获时,女子竟然用日语对警察道歉说“おわび申し上げます”(我对此非常抱歉)。事后,警察在检查护照时发现,该女子确系中国人。但是,值得注意的是,失窃的珠宝商也被一同抓了起来,因为涉嫌高价贩卖假钻——据悉,真钻在X光下是无法被发现的。


567e966c76cbb.jpg
警方通过X光,找到位于其大肠中的钻石,并让医生使用肠镜等器械,将钻石从该女子的肠中取出。


1149

主题

2万

回帖

2339 小时

在线时间

金甲骑士

风云有你有我 携手一路同行

积分
54382
QQ
 楼主| 发表于 2015-12-27 13:33:59 | 显示全部楼层
一举五得:1. 飚日语骂了日本人(日本人丢人了);2. 抓后警察给做X光体检了(肚里有啥病能一块看出来);3. X光查出钻石是假的奸商被抓了(立了一大功打假了,要不然奸商得骗多少人的钱啊);4. 媒体一曝光,出名了还上镜了(名人要想出名得花多少钱,费多少心机那);5. 尝到肠镜术滋味不是好玩儿的。呵呵呵 {:soso__13165319925079696742_2:}  我总结的对吧~

20

主题

7774

回帖

905 小时

在线时间

金甲骑士

积分
26128
发表于 2015-12-27 23:09:18 | 显示全部楼层
赵飞燕 发表于 2015-12-27 13:33
一举五得:1. 飚日语骂了日本人(日本人丢人了);2. 抓后警察给做X光体检了(肚里有啥病能一块看出来);3 ...

总结的好

点评

呵呵呵,联想了一下  详情 回复 发表于 2015-12-27 23:11
风云信条:戴头盔,不喝酒,慢下坡。不抛弃队友,不放弃努力。

1149

主题

2万

回帖

2339 小时

在线时间

金甲骑士

风云有你有我 携手一路同行

积分
54382
QQ
 楼主| 发表于 2015-12-27 23:11:22 | 显示全部楼层

呵呵呵,联想了一下{:soso__14347937040236606360_4:}

662

主题

3万

回帖

4232 小时

在线时间

金甲骑士

积分
76754

志愿者

发表于 2015-12-27 23:57:45 | 显示全部楼层
不会用肠镜,泻药灌肠就够了,这是一个疑点,是不是编故事寒碜中国人呢?

点评

新年快乐!  详情 回复 发表于 2016-1-1 11:26
官方报道的,谁敢瞎说这年头啊~  详情 回复 发表于 2015-12-28 00:04
风云信条:戴头盔,不喝酒,慢下坡。不抛弃队友,不放弃努力。

1149

主题

2万

回帖

2339 小时

在线时间

金甲骑士

风云有你有我 携手一路同行

积分
54382
QQ
 楼主| 发表于 2015-12-28 00:04:56 | 显示全部楼层
没说明白 发表于 2015-12-27 23:57
不会用肠镜,泻药灌肠就够了,这是一个疑点,是不是编故事寒碜中国人呢? ...

官方报道的,谁敢瞎说这年头啊~

183

主题

5万

回帖

4449 小时

在线时间

金甲骑士

积分
127710
QQ
发表于 2015-12-28 13:56:30 | 显示全部楼层
爱国啊

点评

哈哈哈,没这样爱国的  详情 回复 发表于 2015-12-28 20:34
平平淡淡才是真……

1149

主题

2万

回帖

2339 小时

在线时间

金甲骑士

风云有你有我 携手一路同行

积分
54382
QQ
 楼主| 发表于 2015-12-28 20:34:42 | 显示全部楼层

哈哈哈,没这样爱国的  {:soso__14347937040236606360_4:}

1149

主题

2万

回帖

2339 小时

在线时间

金甲骑士

风云有你有我 携手一路同行

积分
54382
QQ
 楼主| 发表于 2016-1-1 11:26:38 | 显示全部楼层
没说明白 发表于 2015-12-27 23:57
不会用肠镜,泻药灌肠就够了,这是一个疑点,是不是编故事寒碜中国人呢? ...

新年快乐!


点评

新年快乐,元旦快乐,猴年快乐!!!  详情 回复 发表于 2016-1-2 00:00

662

主题

3万

回帖

4232 小时

在线时间

金甲骑士

积分
76754

志愿者

发表于 2016-1-2 00:00:52 | 显示全部楼层

新年快乐,元旦快乐,猴年快乐!!!

点评

同乐  详情 回复 发表于 2016-1-2 10:49
风云信条:戴头盔,不喝酒,慢下坡。不抛弃队友,不放弃努力。
您需要登录后才可以回帖 登录 | 免费注册

本版积分规则

快速回复 返回顶部 返回列表